Mi prendo cura di DENTI e GENGIVE tramite l’ablazione del tartaro, la levigatura delle radici e l’applicazione topica di vari prodotti di profilassi.
PREVENIRE È MEGLIO CHE CURARE, proprio per questo provvedo all’istruzione delle corrette metodiche di igiene orale.
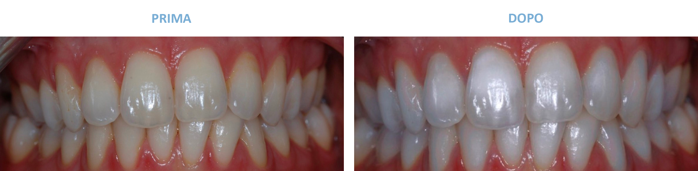
E per chi vuole far risplendere il proprio sorriso cerco la soluzione migliore tra le tecniche di sbiancamento dentale più efficaci (sbiancamento domiciliare o sbiancamento professionale alla poltrona).


